[Affinity Biosciences] Phospho antibodies
어스바이오는 Affinity Biosciences 한국 공식 대리점으로서 모든 제품을 전문적으로 취급 및 공급하고 있습니다.
Affinity Biosciences의 Phospho antibodies 제품을 소개드립니다.
Phosphorylation란 단백질에 인산염기가 추가되는 것을 말합니다. phosphate groups은 kinase 매개 반응을 통해 serine, threonine 또는 tyrosine 잔류물에 부착됩니다. Phosphorylations는 다양한 경로의 활성화에 중요합니다.
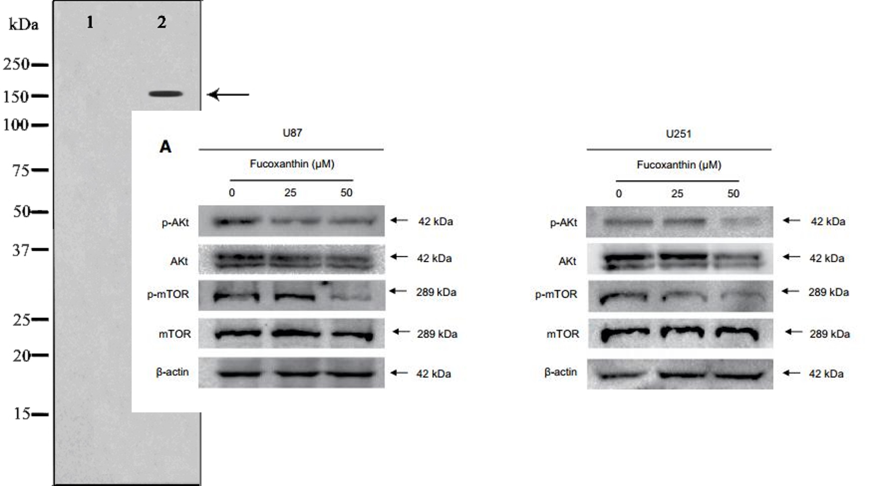
[Affinity Biosciences] Phospho-AKT1/2/3 (Ser473) Antibody

Product Information:
Catalog: AF0016
Source: Rabbit
Description: Rabbit polyclonal antibody to Phospho-AKT1/2/3 (Ser473)
Application: WB 1:500-1:2000, IHC 1:50-1:200, IF/ICC 1:100-1:500
Reactivity: Human, Mouse, Rat, Monkey
Prediction: Pig(100%), Bovine(100%), Horse(100%), Sheep(100%), Rabbit(100%), Dog(100%),
Chicken(100%)
Clonality: Polyclonal
Mol.Wt: 60kDa; 56kD(Calculated)
Specificity: Phospho-pan-AKT1/2/3 (Ser473) Antibody detects endogenous levels of pan-AKT1/2/3 only when phosphorylated at Sersine 473.
Conjugate: Unconjugated.
Purification: The antibody is from purified rabbit serum by affinity purification via sequential chromatography on phospho-peptide and non-phospho-peptide affinity columns.
Storage: Rabbit IgG in phosphate buffered saline , pH 7.4, 150mM NaCl, 0.02% sodium azide and 50% glycerol. Store at -20 °C. Stable for 12 months from date of receipt.
어스바이오(USBIO)는 Affinity Biosciences 한국 공식 대리점입니다.
해당 제품에 대한 문의나 Affinity Biosciences 제품의 견적 또는 문의사항이 있으시면 아래로 연락주시기 바랍니다.
Tel : 02-862-2816 / email : bio@usbio.co.kr
